
ILLUSTRATIONS contrast the structure of an intestinal cell as known from light vs. electron microscopy (top and bottom). CELL SURFACE: Two new features are revealed—finger-like projections, or villi, covering the surface; and the surface membrane, resembling two thick lines. MITOCHONDRIA: Grublike black bodies seen with the light microscope are now known to have a definite membrane structure. CYTOPLASM: With electron microscope, structural components of cytoplasm can be seen. A system of tiny canals bounded by membranes, granules and vacuoles all make up major portions of cytoplasm. GOLGI COMPLEX: Previously seen as an ill-defined structure near the nucleus, the Golgi complex is now described as a system of thin membranes forming large vesicles. NUCLEUS: Electron microscopy has added little to knowledge of the nucleus, but "pores" found in the membrane probably permit exchange between the nucleus and cytoplasm.
Today, one of the most exciting research frontiers in biology is the once-invisible region beyond the limit of the conventional microscope—the level at which proteins, carbohydrates, fats, minerals and water are organized in the pattern we call life. Investigation of the macromolecular structure of cells and their components has become increasingly rewarding with the development of electron microscopy—a biophysical technique which, in a few short years, has answered many old questions and raised an equal number of new ones.
The electron microscope is not a new research instrument (the first successful ones were produced in the early 1930’s). but the application of this "supermicroscope" to biology has recently taken a giant stride ahead with the refinement of techniques for preparing specimens for study at high magnification. This development of "ultra-microtomy"—or thin-section techniques—grew out of the need to overcome some of the limitations posed by the very nature of the electron microscope. For, while the electron microscope can magnify an object many thousands of times more than can a light microscope, the instrument makes certain demands of the microscopist. A comparison of the light and electron microscope will be helpful in making this clearer.
In the light microscope, magnification of the image is achieved by transmitting light from a source through glass lenses. Details in the image are visible because of the light absorbed or scattered by the object being viewed. In electron microscopy, a beam of electrons is substituted for the conventional microscope’s beam of light; magnetic “lenses” take the place of glass; and most of what is visible is seen because of the scattering of electrons by the material of the specimen.
In other words, the specimen is cut so thin that those portions which appear white in the electron micrograph have not retarded or deflected the focused beam of electrons at all, while those portions of cells, such as the nucleus, which appear darker in the electron micrographs seem so by virtue of the density of the material originally present in that area. In the case of a completely black area, the specimen under study has completely retarded the electron beam and has, in this way, prevented it from reaching the exposed photographic film.

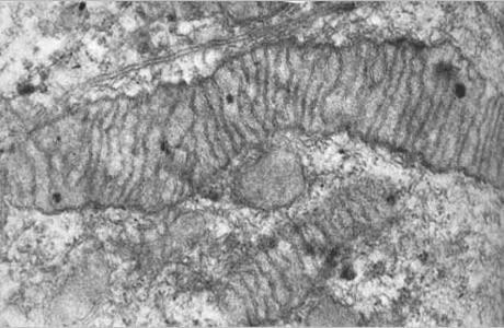
Mitochondria membranes are seen to have an organized structure suggesting a relation to enzyme systems.
Why is there a limitation to what can be seen with the light microscope? Both theory and experiment have shown that it is the wave length of the light which sets an absolute and unalterable lower limit to what can be seen. Because it is impossible to form a correct optical image of objects smaller than about half the wave length of the observing light, it is impossible to see anything smaller than about two-tenths of a micron (a micron, one one-thousandth of a millimeter, is equal to 0.00004 inch) with the conventional light microscope. But the wave length of the associated electrons in the beam of a 50 KV electron microscope is many hundreds of thousands of times smaller than the wave length of visible light. Theoretically, the electron microscope should be able to resolve objects as small as 0.05 Angstrom units. Since an Angstrom unit is one ten-millionth of a millimeter in length, this theoretical resolution comes to .000,000,000,197 (1.97x10-10) inch.
In practice, however, any microscope’s resolving power depends not on the wave length of the observing “light” alone, but on the lens system and on the aperture of the objective lens. In electron optics, in order to keep “lens” aberrations to a minimum, limitations are imposed on the size of the aperture. This, of course, leads to a reduced value of the actual resolving power of the electron microscope from what theoretically might be possible. In a properly trimmed electron microscope, it is actually possible routinely to achieve 30 Angstrom unit resolution—which means the difference between being able to observe a virus particle and merely theorizing its existence.
It is important to remember, in this connection, that the resolution of a given electron micrograph depends not only on the performance of the electron microscope but also on the nature of the specimen viewed. For example, living matter, thus far, has not been observed. It would be necessary to confine a living specimen to a chamber the walls of which would not scatter or absorb the electron beam: even then, it seems likely that the rapid vibration of microscopic particles in a wet preparation would probably obscure the hoped-for detail.
Another problem is that of specimen thickness. Because the beam of electrons is more easily scattered than a beam of light, it is necessary to use an extremely thin support for specimens. For a while, the electron microscopist was caught between the Scylla of too thick and dense films and the Charybdis of films so thin that they tore when subjected to the electron beam. But, with practice and experimentation, appropriate supporting films and nets have at last been developed.


A third and more complex difficulty—but one fundamental to successful high resolution—is the problem of “contrast.” This is as important, in a way, as the problem of resolving power, since an object can be seen (if it is larger than the resolving power of the microscope) only if has enough mass to scatter electrons and if, at the same time, the supporting film does not scatter the electrons to the same degree. Many early attempts at demonstrating particles of macromolecular dimensions failed because this contrast between the specimen and the supporting film was not sufficient. It was like trying to see a black bear in the middle of a dark night.
Before the development of methods for thin sectioning, this problem of contrast was partially solved by an ingenious method devised by R. Robley Williams—the preferential attachment of atoms of a heavy metal to the surface of the object under study. One of the ways of doing this was a “shadowing” technique: the specimen was placed in a vacuum jar and the metal placed beside a tungsten filament. At the moment the filament’s heat vaporized the metal, the metal atoms traveled in straight lines in all directions: some of them were deposited on the specimen. Since the greatest amount of deposited metal was on the specimen surface facing the filament, the specimen appeared in the electron microscope as if it were casting a shadow. Such structures as collagen fibers are admirably suited to this shadowing technique, as Schmitt, Hall, Jakus and Gross have demonstrated at M.I.T.
Another approach to the problem, before today’s sectioning techniques were developed, was put forward by Dr. Keith Porter at the Rockefeller Institute. Taking advantage of the spreading characteristics of some cell types, Porter allowed cells in tissue culture to spread out on thin films. He then fixed the cells and transferred these whole mounts to the electron microscope. Despite such techniques, however, the absence of any method for sectioning meant that it was not possible to look at a cross-section of a cell’s surface membrane, to examine the relation of the nucleus to the cytoplasm, to compare the submicroscopic morphology of different cell types or to hope to define the macromolecular structure of such organelles as mitochondria or the Golgi apparatus.